
Combate à obesidade é uma das principais formas de prevenir doenças hepáticas
Entre as doenças hepáticas, ou seja, as que acometem o fígado, as hepatites possuem a maior incidência entre os brasileiros. Porém, outro problema vem crescendo

Entre as doenças hepáticas, ou seja, as que acometem o fígado, as hepatites possuem a maior incidência entre os brasileiros. Porém, outro problema vem crescendo

O câncer de mama atinge cerca de 73.610 pessoas por ano, de acordo com estimativa feita pelo Instituto Nacional do Câncer (Inca). Apesar de a

A hipertensão, ou pressão alta, é uma doença crônica caracterizada pelos níveis elevados de pressão arterial. A condição é diagnosticada quando os valores das pressões

Você já pensou na importância das primeiras horas da vida de um bebê assim que ele nasce? Além de respirar sozinho e regular sua temperatura

O câncer de mama é o segundo tipo de câncer mais comum no Brasil, atrás apenas dos tumores de pele não melanoma. Segundo o Instituto

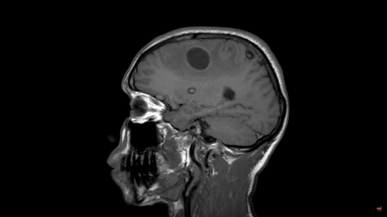
Um relato de caso médico viralizou nas redes sociais e levantou um alerta sobre um novo método muito perigoso de emagrecimento. O norte-americano Bernard Hsu,

O chá de espinheira-santa (Maytenus ilicifolia) é feito com a planta medicinal brasileira, amplamente utilizada para problemas digestivos. Priscila Schramm, nutricionista e especialista em nutrição

O ex-boxeador José Adilson Maguila morreu aos 66 anos nesta quinta-feira (24). A informação foi confirmada pelo Instituto Maguila. O lutador foi diagnosticado anos atrás

Um estudo dinamarquês, publicado no último dia 16 no periódico JAMA Network, associou o uso de DIU hormonal — conhecido no Brasil pelos nomes comerciais

O ex-BBB Eliezer do Carmo, 34, revelou na terça-feira (22) que a ex-sister Viih Tube, 24, estava sofrendo com fortes dores na região pélvica. A
FOLHA DE SALVADOR-2022 TODOS OS DIREITOS RESERVADO